近日,90岁的李奶奶不慎摔倒后右股骨颈骨折送至江安县人民医院骨科医治,骨科医师接诊后即刻召开多学科联合会诊,为老人开启绿色通道,为救治“加速度”!
年已耄耋的李奶奶在家中走路时不慎摔伤,右髋部着地,致右髋部疼痛、活动受限,在完善影像学检查后诊断为:右股骨颈骨折。

李奶奶平素身体较差,若手术治疗,则手术和麻醉风险大;若选择保守治疗,就需要长期卧床。李奶奶的儿女均是60多岁的老年人,家中其他年轻人又忙于工作,若李奶奶长期卧床,谁来照顾饮食起居则是一个难题。
那么,是选择手术还是保守治疗?这让家属们犹豫不决起来。
在了解到李奶奶的相关情况后,骨科医师团队组织呼吸与危重症医学科、麻醉科及心血管内科进行详细的术前评估。认为李奶奶手术和麻醉风险虽大,但并非手术禁忌。经过与患者及家属充分沟通,取得同意后,为李奶奶实施了:右侧人工股骨头置换术。
手术历时1小时,术后2天李奶奶便在助行器的保护下可下床行走,术后14天顺利拆线出院回家静养。
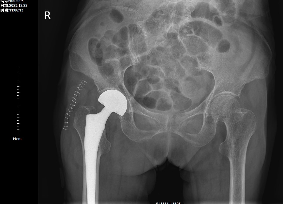
术后X片

术后14天,李奶奶顺利出院,在家中晒太阳

据了解,在当月,另外3名股骨颈骨折的耄耋老人均在骨科得到了及时高效的救治,在医务人员和家属的共同努力下,老人顺利挺过难关,重新“站”了起来。
术后第2天,熊奶奶下地自由活动

髋部骨折又称为“死亡骨折”,是继心脑血管疾病、肿瘤后的第三大“老年人杀手”。保守治疗对高龄老人来说就是“生死考验”,很可能会成为“人生最后一次骨折”。

“
不放弃任何一个
有可能挽救的老年髋部骨折!
”
江安县人民医院骨科在应对高龄、高危、重症的老年髋部骨折病人治疗有一套高效、规范的流程,通过MDT多学科联合治疗,全程管理,最大程度地减少患者痛苦,降低潜在并发症发生的可能,让更多的老人重新站起来,共同对抗“人生最后一次骨折”。
专 家 简 介

曾询 中共党员
骨外科主任
副主任医师
从事外科工作近20年,主要从事四肢创伤,运动损伤和骨关节损伤修复与重建的临床工作,具有扎实的医学理论知识和丰富的临床工作经验。
曾在四川省人民医院骨科、泸州医学院附属医院骨与关节外科、华中科技大学附属同济医院骨科,河南省骨科医院进修学习。
擅长晚期股骨头缺血坏死,膝关节骨性关节炎等重度髋膝关节病变的人工关节初次置换及翻修术;保髋保膝治疗;关节镜微创治疗膝关节前后交叉韧带损伤,滑膜炎,半月板损伤,游离体等疾病;各种四肢骨折脊柱骨折等骨科常见病和多发病的诊断。